
2026年2月27日,记者从深圳市第三人民医院获悉,春节假期期间,该院急诊科接诊的急性胰腺炎患者数量明显增多,多与节日期间暴饮暴食、高脂饮食及过量饮酒相关。市民肖女士因将胰腺炎腹痛误判为胃肠炎,硬扛10余小时才就医,最终被确诊为急性胰腺炎,所幸经及时治疗目前恢复良好。
据了解,大年初三晚间,肖女士出现上腹部隐痛症状,她误以为是胃肠炎,自行服用两片胃药后便休息,并未前往医院就诊。然而,疼痛并未缓解,反而在随后的10余个小时内持续加重,从隐痛发展为剧烈绞痛。大年初四晚十点多,见肖女士症状持续恶化,家人紧急将其送往深圳市第三人民医院急诊科。
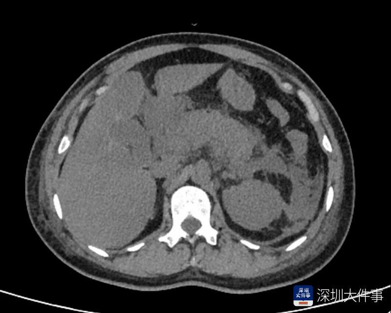
抵达医院时,肖女士已疼得直不起腰,额头渗满冷汗,面色煞白。该院急诊科黄燕医生接诊后,第一时间询问病史并安排抽血、腹部CT等检查。化验结果显示,肖女士血淀粉酶数值达257.2 U/L,脂肪酶数值高达4610.5 U/L,两项指标均远超正常值上限;腹部CT影像则显示其胰腺明显肿胀,周围有脓液渗出,符合急性胰腺炎典型影像学特征,最终确诊为急性胰腺炎。

确诊后,急诊科立即为肖女士采取补液、抑制胰酶分泌等对症治疗,并将其转入消化内科住院进一步诊疗。截至目前,肖女士的治疗情况良好,病情已得到有效控制。
“急性胰腺炎是起病急、进展快、危害大的急腹症,被称为‘节日病’里最凶险的类型之一。”深圳市第三人民医院急诊科李宇翾医生介绍,人体短时间内大量摄入油腻、高糖食物或酒精,会让胰腺超负荷工作,引发胰液异常分泌、胰管压力升高,最终导致胰腺自我消化,轻则出现剧烈腹痛、恶心呕吐,重则可能引发重症胰腺炎、器官衰竭,甚至危及生命。
李宇翾医生特别提醒,急性胰腺炎腹痛与急性胃肠炎腹痛极易混淆,市民需注意区分。急性胰腺炎引发的腹痛起病更急、症状重且持续,常规处理难以缓解,常伴随恶心、呕吐等症状;而急性胃肠炎多伴随腹泻、呕吐,属于自限性疾病,一般几天内即可好转。

医生表示,有胆道疾病、高脂血症的人群,以及存在暴饮暴食、过量饮酒习惯的人群,是急性胰腺炎的高发群体。其中,胆道疾病是我国急性胰腺炎的首要致病因素,占比达50%,胆结石患者尤需警惕。
若出现疑似急性胰腺炎症状,市民需立即做到两点:一是严格禁食禁水,二是尽快前往医院就诊,越早治疗,康复概率越高。医生同时呼吁,节日期间应保持健康饮食和生活习惯,避免暴饮暴食、过量饮酒,降低急性胰腺炎等“节日病”的发病风险。
南都N视频记者 韩成良 实习生 魏珊珊配资知名配资门户
倍盈配资提示:文章来自网络,不代表本站观点。